
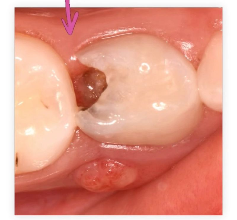
Comenzamos con el expediente y una evaluación detallada de sus dientes y encías, utilizamos una cámara intraoral, que nos permite ver de cerca cada diente y detectar cualquier problema a tiempo.
Nuestro objetivo es brindar una experiencia clara y confiable para que juntos podamos cuidar la sonrisa de tu peque.






Reparamos sonrisas con amor.
Usamos cookies para analizar el tráfico del sitio web y optimizar tu experiencia en el sitio. Al aceptar nuestro uso de cookies, tus datos se agruparán con los datos de todos los demás usuarios.